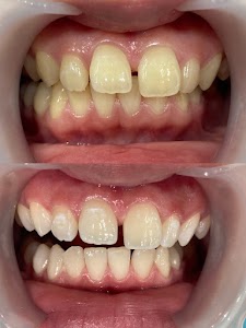
20代 女性・大学生
| たばこ | コーヒー | ワイン |
|---|---|---|
| 吸わない | 1日:2~3杯 | たまに |

西鉄福岡(天神)駅より徒歩5分。ブライダルホワイトニングとしてご利用されるお客様も多数いらっしゃいます。
女性はもちろん♪男性もお気軽にお越しください。輝く白い歯で笑顔に自信をつけて、第一印象UPを目指しましょう♡
| 住所 |
〒810-0041 福岡県福岡市中央区大名2丁目1−17 ムラサキプレイス 502 |
|---|---|
| 地図 |
|
| 電話番号 |
※受付時間内でも、接客・施術中などで電話をとれないこともあります。その際は着信履歴をみて極力折り返し電話差し上げております。万が一折り返しの電話がない、とれなかった、という場合はお手数ですが改めてお電話くださいますようお願い致します。 |
| 営業時間 |
日〜木・祝 10:00 ~ 19:00 金・土 11:00 ~ 20:00 |
| 定休日 | 不定休 (予約ページで確認できます) |
| 支払い方法 |
現金・クレジットカード(VISA/Master/JCB/Amex/Diners) PayPay・auPAY・電子マネー(QUICPay/iD/交通系IC) |
| 席数 | 3席 |
| 駐車場 | 近隣に有料駐車場あり |
| アクセス |
西鉄福岡(天神)駅より徒歩5分
■西鉄福岡(天神)駅より徒歩でお越しの場合 1)北口よりソラリアステージ(大画面広場)へ出たら左手側にスターバックスがありますので、その角を左へ曲がります。
|
| ご利用規約 | お申し込みの前に必ずお読みください |
| お問い合せ |
LINE公式アカウントのお友だち追加後、メッセージをお送りください。LINEではお得な情報も随時お届けしています! |
赤坂・薬院大通・天神南・天神西通り・大名大通り・新雁林町通り・博多
ホワイトニングカフェでは
より効果を感じていただくために
1回の施術で
行います。
| たばこ | コーヒー | ワイン |
|---|---|---|
| 吸わない | 1日:2~3杯 | たまに |

| たばこ | コーヒー | ワイン |
|---|---|---|
| 1日:5~6本 | 1日:2杯 | 飲まない |

通常価格
1回 4,980円1回:8分間照射 × 2セット
4,500円
コース料金:18,000円
1,920円 お得
4,200円
コース料金:33,600円
6,240円 お得
3,900円
コース料金:46,800円
12,960円 お得
homeセット
歯磨き粉+トリートメント
4,950円
施術の流れ
STEP.1
カウンセリング
STEP.2
歯磨き
STEP.3
オープナー装着
STEP.4
溶液塗布
STEP.5
LED照射
STEP.6
仕上げの歯磨き
※ 当店では1回の施術で2回LED照射を
行いますので、
STEP2~5を繰り返します。
当店は「しみない!痛くない!食事制限なし」でご利用頂ける福岡市の天神駅から徒歩5分に位置するホワイトニングサロンです。
短期間・低価格でご自身が持つ本来の白い歯を取り戻して頂けます!
歯医者で行われるオフィスホワイトニング・ホームホワイトニングよりも1回30分と手軽に安い料金で非常に高い効果が出るため、リピートして通われているお客様も数多くいらっしゃいます!
ホワイトニングカフェ福岡天神店では照射器を3台用意しておりますので、3名様同時対応が可能です。
カーテンで仕切られているので、プライベート空間と気持ち良いソファーでリラックスしてホワイトニングしていただけます。
名鉄福岡(天神)駅と赤坂駅の間で、パルコや福岡三越などの商業施設や、天神地下街などの栄えた場所にありますので、お買い物やデートのついでにお友達、カップルやご家族とぜひご来店くださいませ。
ホワイトニングカフェ福岡天神店の中山です!
歯の黄ばみが気になり思い切り笑えない。でも、ホワイトニングは高額なイメージがあって…そんな声を多く伺います。
ホワイトニングカフェは低価格、しみない痛くない次世代のホワイトニングをご提供します。
一度体験されたお客様からは
「白い歯になり自信をもてるようになった!」「笑顔が増えた♡」など喜びの声を多数頂いており、おかげさまで紹介や口コミにより年々ご利用者は増えております。
福岡でホワイトニングするなら当サロンへ!
皆様とお会いできるのを楽しみにお待ちしております♪
ホワイトニングカフェは年間約10万人のお客様にご来店いただいております。その中から撮影させていただいた方、SNSに感想をアップいただいた方の情報を一部紹介させていただきます。
たいし様 / 26歳 / エンジニア
ポッキー様 / 51 歳 / 主婦
セルフで光を照射する方法は初めてでしたが、初回から効果がありこれからも続けていきたいと思いました!
【 もっと読む 】
F.S様 / 25 歳 / 理学療法士
1年前くらいまでタバコを吸っていて歯の色も気になりだしました。一気にではなく徐々に白くなってきているのを実感しています。
【 もっと読む 】
M・Sさま / 20代 / 学生
簡単にできると思っていなかったけど、回数を重ねるごとにスムーズに出来るようになった。する前より効果が出ているので嬉しいです。
【 もっと読む 】
みずきちさま / 20代 / 男性
自分は営業活動をしており歯が白いことは、お客様への第一印象を左右すると思い来店してみました。初めてだったのですが、丁寧にカウンセリングしていただいたので分かりやすかったです。短時間で歯が白くなり、料金も低価格なので学生の自分でも始めやすかったです!歯が白くなったことにより笑顔にさらに自信が持てるようになりました。
【 もっと読む 】











| 血液型 | O型 |
|---|---|
| 星座 | 魚座 |
| 趣味 | 旅行・読書・キャンプ |
| 資格・ 所属団体 |
・歯科衛生士国家資格(第157023号) |
・2008年 北海道医療大学歯学部附属歯科衛生士専門学校 卒業
・2008年 わたべデンタルクリニック勤務
・2014年 さかの歯科クリニック勤務
・2017年 ホワイトニングカフェ札幌駅前店勤務
ホワイトニングはただ歯を白くするだけでなく、笑顔に自信を持つきっかけになるケアです。
お一人おひとりのお悩みに丁寧に寄り添いながら、安心して施術を受けていただけるよう心がけています。
ご不安なことがあれば何でもご相談ください。一緒に、自然で輝く白さを目指しましょう!